Lekarze Szpitala im. Degi w Poznaniu zaczęli wszczepiać nowoczesne endoprotezy stawu biodrowego, które sami współtworzyli
- 18.03.2022
Przy zabiegu
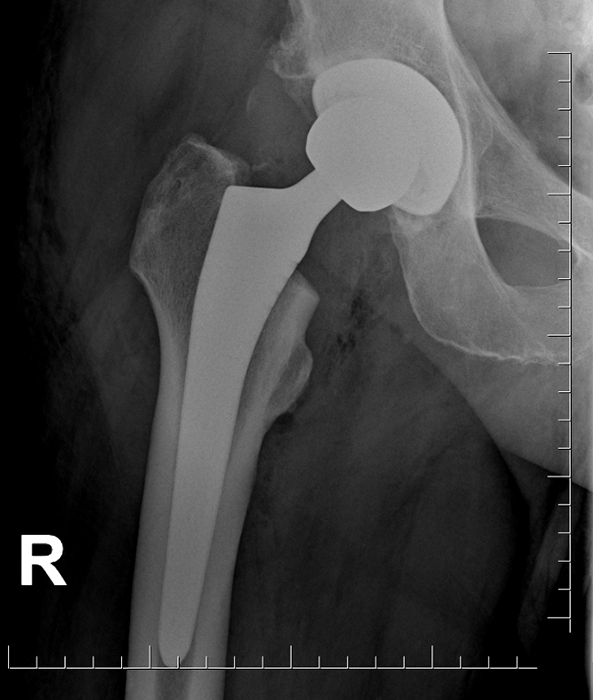
16 marca lekarze Ortopedyczno-Rehabilitacyjnego Szpitala Klinicznego im. Wiktora Degi Uniwersytetu Medycznego w Poznaniu wszczepili pierwszym pacjentom nowoczesne, produkowane w Polsce całkowite endoprotezy stawu biodrowego, który współtworzyli z inżynierami z firmy ChM z Białegostoku.
Szpital im. W. Degi w Poznaniu to jeden z wiodących ośrodków ortopedycznych w Polsce, który specjalizuje się między innymi w endoprotezoplastyce stawu biodrowego – operacji polegającej na wymianie zużytego stawu na implant, który uwalnia pacjenta od bólu i umożliwia sprawne poruszanie się. Jest to także renomowany ośrodek naukowy, w którym lekarze kierowanej przez prof. Jacka Kruczyńskiego Kliniki Ortopedii Ogólnej, Onkologicznej i Traumatologii od wielu lat powadzą badania dotyczące nowoczesnych technik operacyjnych i biomateriałów, za które uzyskali szereg nagród i wyróżnień w Polsce i Europie.
Zespół kierowany przez dr hab. Łukasza Łapaja konsekwentnie dążył do tego, by doświadczenia naukowe dotyczące endoprotezoplastyki przenieść z laboratorium na salę operacyjną. W ostatnich latach podjął współpracę z producentem implantów medycznych – firmą ChM z Białegostoku, która w ponad 60 krajach świata sprzedaje implanty ortopedyczne do leczenia złamań kości – gwoździe, płyty i stabilizatory.
Stworzenie endoprotezy było trudnym zadaniem nawet dla tak doświadczonego wytwórcy – trzeba było opanować szereg nowoczesnych technologii produkcji, a sam implant i narzędzia do jego wszczepiania należało zaprojektować tak, by spełniały najsurowsze normy bezpieczeństwa. O tym jak wielkie jest to wyzwanie świadczy choćby fakt, że obecnie większość zakładanych w Polsce endoprotez produkuje raptem kilka globalnych koncernów medycznych z ogromnym zapleczem
badawczo-rozwojowym.
I tu przydało się wieloletnie doświadczenie poznańskich ortopedów, którzy pomogli inżynierom opracować nowoczesny implant. Jest on wykonany z tytanu, a dzięki specjalnym pokryciom jego powierzchni, po wszczepieniu do endoprotezy przyrasta kość. Całość zaprojektowano tak, by możliwe było implantowanie endoprotezy z zastosowaniem technik minimalnie inwazyjnych, które od lat stosowane są w poznańskiej klinice. Był to bardzo żmudny proces – w pierwszej kolejności przygotowano rysunki oraz trójwymiarowe modele komputerowe. Każdy implant i narzędzie stosowane w trakcie zabiegu było najpierw testowane wirtualnie – na ekranie komputera. Następnie ich prototypy przechodziły mordercze wręcz próby wytrzymałościowe przeprowadzane w akredytowanych laboratoriach w Polsce i Niemczech. Wspólne wysiłki medyków i inżynierów pozwoliły stworzyć nowoczesne implanty na światowym poziomie. Dzięki wielomiesięcznym, drobiazgowym przygotowaniom pierwsze zabiegi przebiegły sprawnie, a operowani pacjenci czują się dobrze i rozpoczęli już rehabilitację.
Ortopedzi ze Szpitala im. prof. Degi nie zamierzają jednak spocząć na laurach. Wspólnie z inżynierami firmy ChM, doc. Łapaj opracowuje już projekty kolejnych endoprotez – między innymi implantów przeznaczonych dla młodych, aktywnych pacjentów.
pr/, fot. mat . pras.
Data publikacji: 18.03.2022 r.




